Bác sĩ Nguyễn Trần Hoàng - Trà Mi
Tại sao lại nói về viêm họng và viêm amiđan cấp?
Đây là một trong những bệnh thường gặp nhất ở Việt Nam. Bệnh dễ chữa và không tốn nhiều tiền. Tuy nhiên, nếu không chữa kịp thời, nhất là ở trẻ em, bệnh có thể dẫn đến các biến chứng nguy hiểm.

Mặt khác, nếu dùng kháng sinh không đúng cách, sẽ khiến vi trùng bị kháng thuốc, nguy hiểm cho mình lẫn cho xã hội.
Họng là gì, gồm những phần nào? Có chức năng gì?
Họng là một khoang cấu tạo bỡi bắp thịt và màng nhầy nằm ở sau mũi, miệng và thanh quản. Họng là phần trung gian giữa mũi và phần còn lại của đường hô hấp cũng như giữa miệng và phần còn lại của đường tiêu hoá.
Không khí sau khi được hít qua mũi, sẽ xuống họng, vào thanh quản, khí quản rồi đến phổi. Thức ăn sau khi vô miệng, sẽ qua họng trước khi qua thực quản để vào bao tử, sang ruột non, qua ruột già, trước khi chất cặn bả được thải ra từ hậu môn.
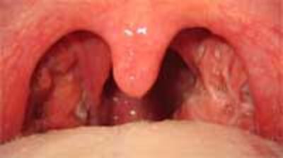
Amiđan là gì? Có chức năng gì?
Amiđan là khối mềm, tròn, nhỏ nằm hai bên họng, được cấu tạo bởi mô bạch huyết (lymphoid tissue). Mô bạch huyết, là một thành phần quan trọng của hệ thống miễn dịch của cơ thể, có chức năng sản sinh ra các tế bào miễn dịch góp phần vào việc bảo vệ cơ thể.
Viêm họng và viêm amiđan là gì? Có liên quan với nhau như thế nào?
Viêm họng, có người gọi là sưng họng, là phản ứng viêm của phần họng, thường bao gồm một phần ba sau của lưỡi, phần sau mềm của vòm họng, và amiđan.
Viêm là một phản ứng của cơ thể với các thành phần mà nó nghĩ là gây hại cho cơ thể. Phản ứng này thường gồm các triệu chứng sưng, nóng, đỏ, đau của vùng bị viêm. Bỡi vì amiđan là một thành phần nằm trong họng, viêm họng thường cũng làm viêm amiđan (còn thường được gọi là sưng amiđan).
Các nguyên nhân của viêm họng và viêm amiđan?
Rất nhiều thành phần có thể gây ra viêm họng và viêm amiđan. Trong đó hai thủ phạm chính là vi rút (còn được gọi là siêu vi trùng) và vi trùng.
Khoảng 85 phần trăm các trường hợp viêm họng và viêm amiđan cấp gây ra bỡi vi rút. Một số vi rút gây ra các bệnh khác như cúm, lở mép (herpes simplex), Siđa,... cũng có thể làm viêm đau họng. Tuy nhiên, các vi rút này thường cũng gây ra các triệu chứng khác bên cạnh triệu chứng đau họng.
Mời bạn tham gia mục Sức khoẻ và Đời sống. Xin gửi email về Vietweb@rfa.org
Trong các trường hợp viêm họng không phải do vi rút, nguyên nhân thường là do vi trùng. Trong các loại vi trùng gây ra viêm họng, thường gặp nhất là loại vi trùng có tên là Streptococcus nhóm A (thường được gọi ngắn gọn là strep).
Vi trùng strep chiếm khoảng 10 phần trăm nguyên nhân của viêm họng ở người lớn. Giống như viêm họng do vi rút, viêm họng do strep cũng có thể lan truyền rất nhanh trong cộng đồng, đặc biệt là trong mùa lạnh, khi mà mọi người thường tụ tập với nhau trong các phòng kín, thiếu thông khí cho ấm.
Điều khác biệt giữa viêm họng do vi trùng strep với hầu hết các loại viêm họng do vi rút, là nếu không được chữa trị thích hợp, bệnh có thể dẫn đến các biến chứng trầm trọng. Các biến chứng này có thể là:
- Bệnh thận - Sốt thấp khớp (có thể làm tổn thương các van tim và có thể gây tử vong) - Sự tạo thành các túi mủ (gọi là áp xe) ở amiđan và các vùng lân cận
Các loại vi trùng khác có thể làm họng bị viêm bao gồm các vi trùng có thể gây ra viêm phổi như Mycoplasma, Chlamydia; đó cũng có thể là vi trùng lậu, vi trùng gây bệnh bạch hầu...
Triệu chứng của các loại viêm họng và viêm amiđan cấp này như thế nào?
Triệu chứng chính của viêm họng và viêm amiđan là đau họng. Triệu chứng hơi khác nhau giữa viêm họng do vi rút với viêm họng do vi trùng strep.
- Trong viêm họng do vi rút, đau họng thường đi kèm với các triệu chứng như: họng bị đỏ, chảy mũi, nghẹt mũi, ho, khàn tiếng, đỏ mắt; ở trẻ em, có thể bị tiêu chảy. Trong một số trường hợp, có thể có các vết lở nhỏ gây đau ở môi và trong miệng, đỏ đau ở xung quanh miệng.
- Trong viêm họng đo vi trùng strep, đau họng có thể đi kèm với sốt, nuốt đau, uể oải, nhức đầu, sưng đỏ họng, tiết đóng chất nhầy ở lưởi và amiđan, sưng đau hạch ở phía trước cổ; trẻ em có thể bị buồn nôn, ói mữa, đau bụng.
Có nhiều triệu chứng giống nhau giữa viêm họng do vi rút và vi trùng. Do đó, đôi khi bác sĩ không thể phân biệt giữa hai nguyên nhân này nếu chỉ dựa vào các triệu chứng. Nếu muốn khẳng định chẩn đoán viêm họng do vi trùng strep, bác sĩ thường cần phải làm một số xét nghiệm từ bệnh phẩm được lấy từ họng. Tuy nhiên, nói chung, nguyên tắc chung là:
- Nếu do vi rút, triệu chứng nổi bật thường là ho và sổ mũi, nghẹt mũi;
- Còn nếu do vi trùng strep, triệu chứng đặc hiệu thường là đau họng đột ngột, tiết chất nhầy ở amiđan, sưng đau các hạch ở cổ và sốt. Trong viêm họng do vi trùng strep, bệnh nhân thường không bị ho và ít chảy mũi.
Ngoài hai nguyên nhân chính là vi rút (chiếm khoảng 85 phần trăm) vi trùng strep (khoảng 10 phần trăm), một số ít tác nhân khác cũng có thể gây đau họng.
Nấm, thường được gọi là đẹn, cũng có thể gây ra đau họng, đi kèm với các triệu chứng như nuốt đau và khó, đóng mảng trắng trong miệng. Đẹn thường xảy ra ở trẻ sơ sinh và những người bị suy yếu miễn dịch, hiếm gặp ở trẻ lớn hoặc người lớn mạnh khoẻ.
Nếu đau họng kéo dài hơn vài tuần, đó có thể là triệu chứng của a xít trào ngược từ dạ dày, do thở bằng miệng khi thời tiết khô (do bệnh nào đó ở mũi là mũi bị nghẹt), chất tiết chảy từ sau mũi xuống họng, và trong một số trường hợp hiếm hoi, có thể do u bướu.
Một số vi trùng gây ra các bệnh ở các cơ quan khác ngoài họng, như cúm, lậu, bạch hầu, Siđa, vân vân, cũng có thể gây ra đau họng. Trong các trường hợp này, đau họng thường kèm với các triệu chứng khác của các bệnh đó.
Bệnh thường kéo dài bao lâu?
Chỉ nói trong hai trường hợp thường gặp nhất:
- Trong các trường hợp viêm họng do các loại vi rút “hiền” thường gặp của viêm họng, các triệu chứng thường sẽ thuyên giảm một các từ từ trong vòng khoảng một tuần
- Nếu bị viêm họng do vi trùng strep, triệu chứng có thể thuyên giảm trong vòng hai, ba ngày sau khi bắt đầu được trị bằng kháng sinh thích hợp
Chương trình này chỉ nhằm cung cấp kiến thức tổng quát về sức khoẻ. Cho các vấn đề cụ thể, chi tiết của từng bệnh nhân, xin liên lạc trực tiếp với bác sĩ cuả quí vị để được thăm khám trực tiếp.
